Permanently replace missing teeth with custom-made dental implants
Restorative Dentistry
Regain a confident, fully functional smile with our expert dental implant solutions.

Expert dental implant care in Greater Manchester
Dental implants are a long-lasting, natural-looking solution for replacing missing teeth. At Precision Dental Clinic, your treatment is overseen by our in-house Implantologist, Dr. Imran Chhadat, who has extensive experience in restoring smiles with implants.
We provide implant care entirely within our practice, from your first consultation through to your final restoration. This means you can feel confident knowing every step is managed by the same trusted team.

A real patient story: Ruth’s dental implant journey
Ruth’s story is a wonderful example of how dental implants can restore not just a smile, but confidence too.
At Precision Dental Clinic, Ruth underwent her implant treatment under the care of Dr Imran Chhadat, whose experience and attention to detail helped guide her through every stage of the process.
Ruth is delighted with her results and can smile, eat, and speak with confidence once again. Her experience highlights our commitment to providing high-quality implant dentistry and patient-centred care.
If you’re considering dental implants in Manchester, Stockport, or Oldham, Ruth’s journey offers insight into what you can expect when choosing Precision Dental Clinic for your treatment.

What are dental implants?
A dental implant is a small, medical-grade titanium screw that a dentist places into your jawbone, where it acts as an artificial tooth root. The screw creates a strong foundation for a replacement tooth.
Dental implants can be used to replace a single missing tooth, or used to secure a dental bridge or even a full set of implant-retained dentures.

How much do dental implants cost?
The cost of dental implants depends on your individual needs, including how many implants you require and the type of restoration you choose. At your consultation, we’ll provide a personalised treatment plan with a clear, detailed breakdown of costs.
Dental implants are a long-term investment in your health, function, and confidence. To make treatment more accessible, we offer flexible 0% finance options and a full guide to fees on our pricing page.

Getting dental implants at Precision Dental Clinic
Your personalised implant consultation
We start with a thorough assessment, including digital scans, to create your bespoke treatment plan.
Placing your implant
Our in-house expert implantologist will gently and skillfully place your implant.
Restoring your smile
After a healing period, your dentist will attach your custom-made tooth or bridge, completing your new smile.
Are dental implants the right choice for me?
A dental implant is an ideal solution if you have one or more missing teeth and are in good general health. They can eliminate gaps in your smile, restore your full chewing ability, and, crucially, stimulate the jawbone, preventing the bone loss that usually occurs when a tooth is lost.
To see if a dental implant is right for you, book a consultation with our team, who can provide tailored advice based on your unique situation and goals.

The benefits of dental implants
Looks and feels like a natural tooth
A permanent solution
Protects your jawbone
No need to alter healthy teeth
Dental implants from an experienced implantologist in Greater Manchester
Your care is led by our Principal Dentist and in-house Implantologist, Imran Chhadat (BDS University of Manchester 2011).
He has extensive expertise in advanced restorative and cosmetic treatments and is passionate about transforming smiles with dental implants.
By having an implant expert on our team, we ensure you receive the highest standard of specialist care in our warm, welcoming, and familiar practice environment.

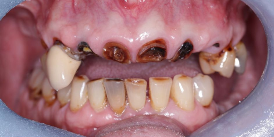
Dental implant results for our patients


All-on-4 Implant smile transformation


Upper arch replacement using all-on-4 Implants
Meet the Precision Dental Clinic team

Begin your journey to permanent smile restoration
Your first step is to book a consultation with our team. Our dentists will assess your suitability for dental implants, explain the process, and answer all your questions.