Gentle and effective tooth whitening in Greater Manchester
Cosmetic Dentistry
Whiten your teeth safely with personalised treatment from our expert dentists.

Teeth whitening at Precision Dental Clinic
Whiten your teeth in comfort with safe, dentist-led teeth whitening treatment that you can carry out at home.
Our experienced dentists provide custom-made whitening kits that fit perfectly and give you brighter teeth without sensitivity. It’s a gentle and convenient way to achieve whiter teeth with long-lasting results.

What is tooth whitening?
Tooth whitening is a safe cosmetic treatment that gentle lightens the shade of your teeth. At Precision Dental Clinic, we provide custom-made whitening trays and professional gel for you to use at home, under the guidance of our dentists.
The result is a brighter, more natural-looking smile without damaging your teeth or enamel.

Why get your teeth whitened?
Whiter teeth
Dentist-led care
Convenient at-home treatment
Boost your confidence
Teeth whitening before & after


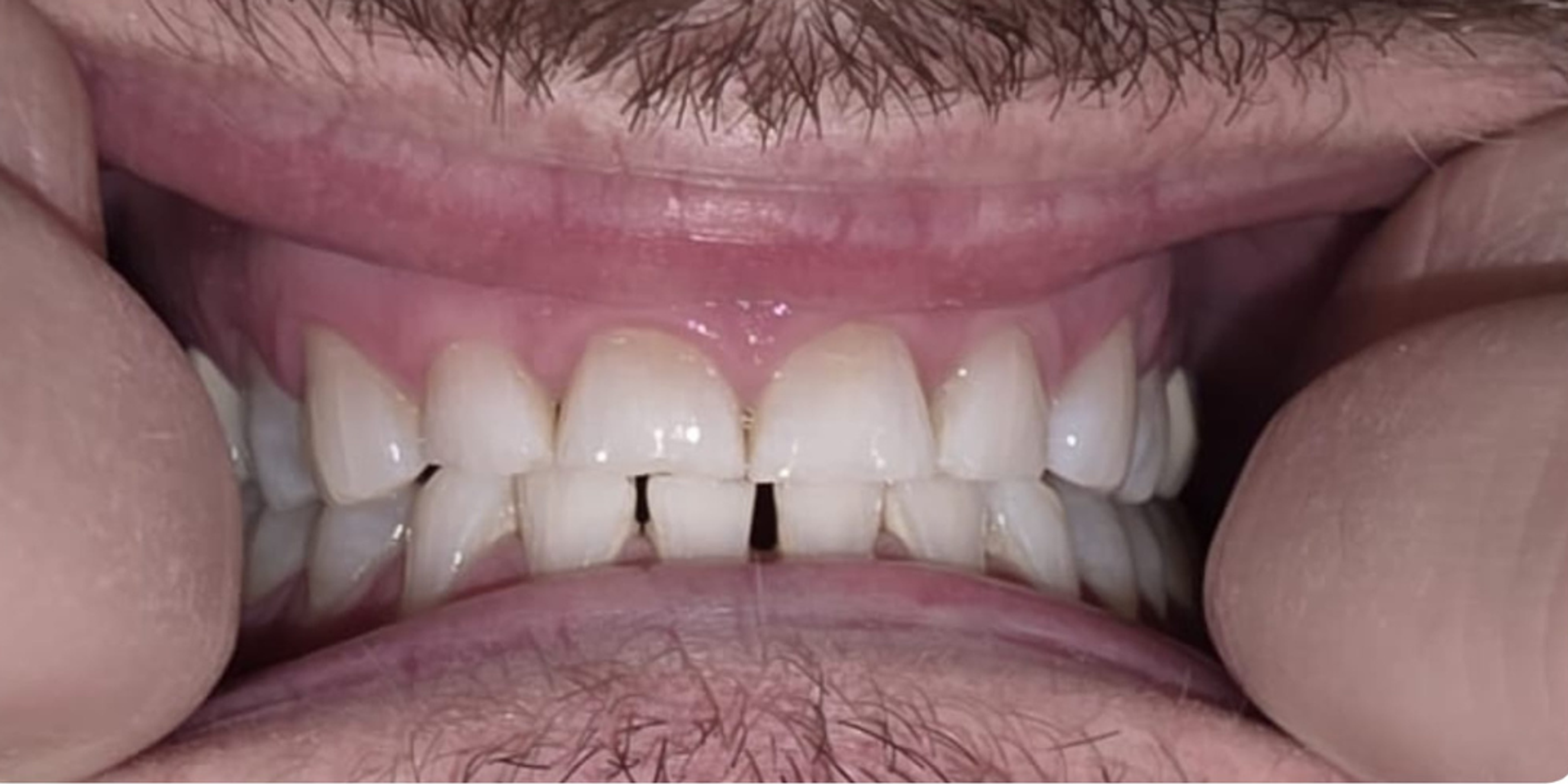
Teeth whitening & edge bonding
Subtle brightening, stunning results! Whitening and edge bonding treatment used to rejuvenate and enhance this patient’s smile for a fresh, confident look.


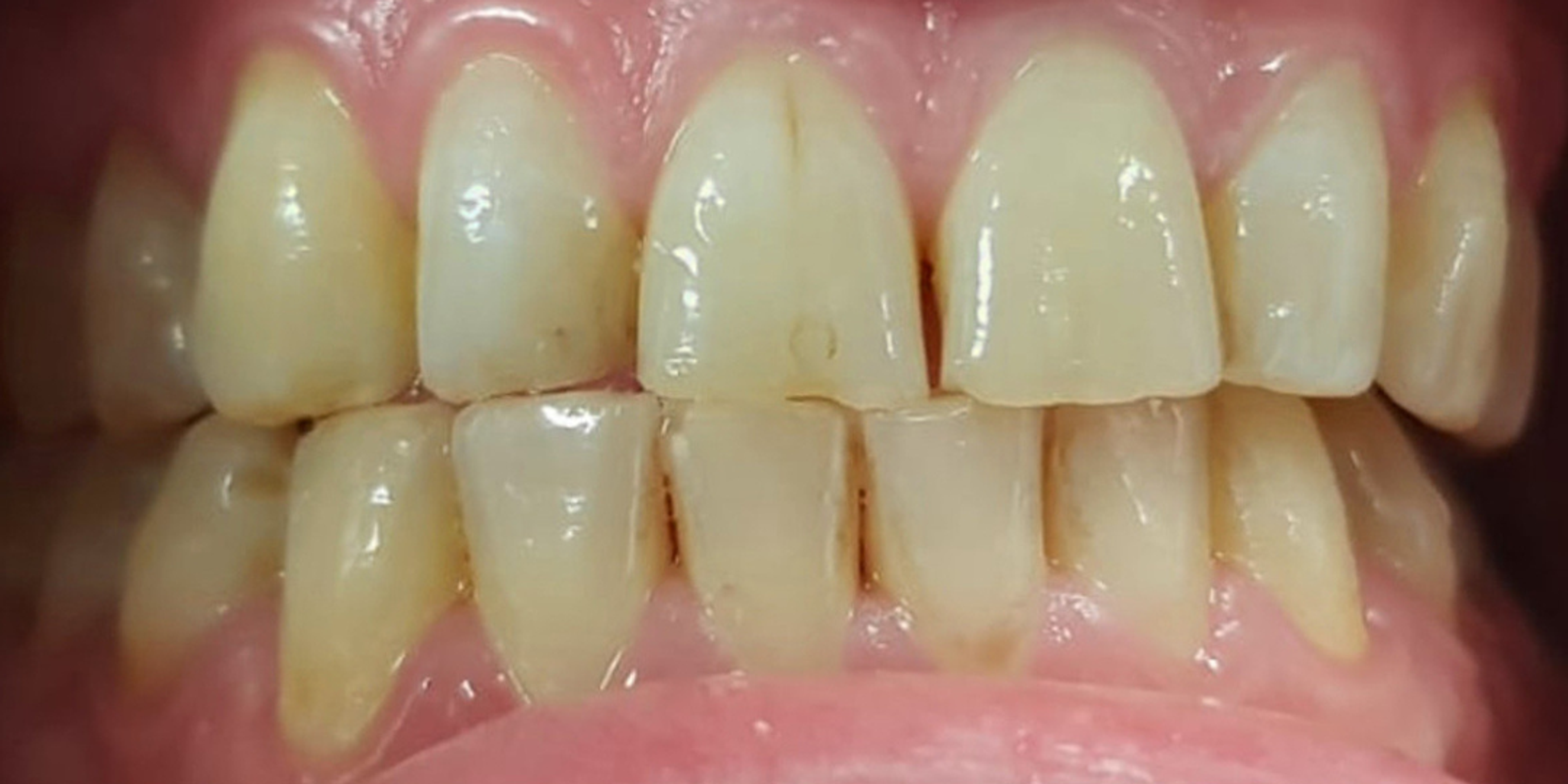
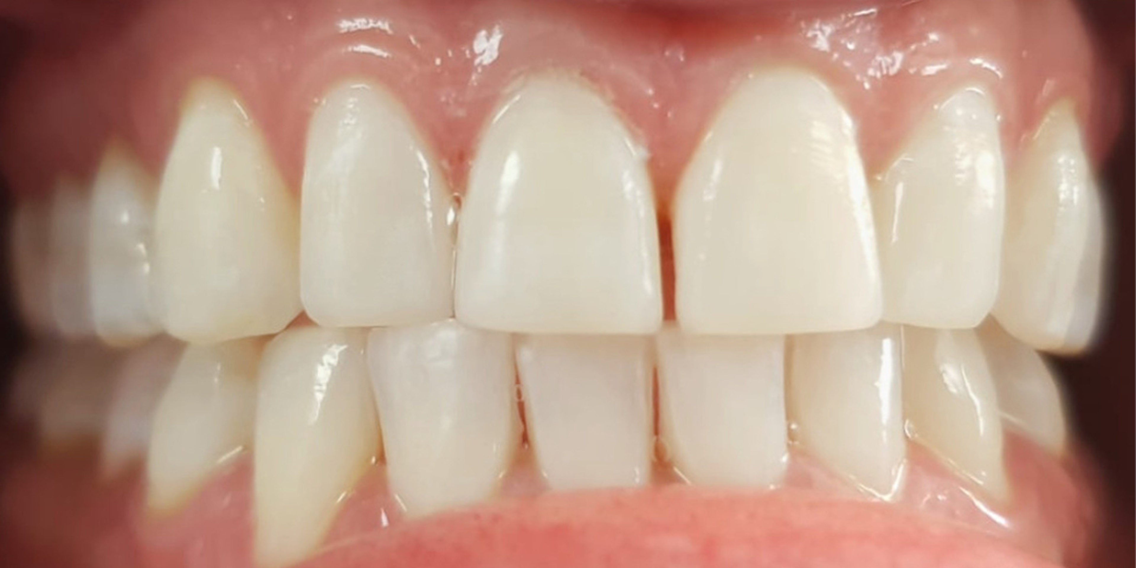
Teeth whitening
A whiter, more confident smile! Our whitening treatment helped this patient achieve a naturally brighter and refreshed look.
How much does tooth whitening cost?
The cost of your professional at-home teeth whitening treatment depends on the whitening system you choose, following your consultation. You can view the price of each whitening system on our pricing page.
Every whitening treatment includes a full dental examination, custom-made whitening trays, prescription-strength gels, and ongoing support from our dentists.
To get a full quote for your tooth whitening treatment, book a consultation with our team. We’ll guide you through your options and create a personalised plan that suits you. We also offer flexible payment plans to make your new smile more affordable.

3 steps to a brighter smile
Book a consultation with our team
Arrange an appointment so our team of experts can assess your smile and goals.
Visit the Precision Dental Clinic
Your dentist will carry out a full dental exam, then take a quick digital scan for your custom trays.
Get whiter teeth in as little as 2 weeks
Receive your trays from the dentist and start using your custom whitening kit at home for safe, natural results.
Get whiter teeth in Stockport and Oldham
At Precision Dental Clinic, we offer professional at-home tooth whitening treatments at both our Stockport and Oldham clinics.
Our experienced clinicians use advanced whitening systems including Boutique and Enlighten tooth whitening to deliver the most effective results (up to 16 shades whiter teeth).
Both our practices are modern, welcoming, and put patient comfort first, so you can focus on what matters — your journey to a whiter, more confident smile.


Ready for whiter teeth? Book a tooth whitening consultation today!
Book a consultation for tooth whitening with the team at Precision Dental Clinic. We’ll arrange for you to have a full dental check-up and a digital scan of your teeth to ensure a perfect fit for your whitening trays.
Frequently asked questions

Contact us
Complete this form and our team will be back in touch with you as soon as possible.
Alternatively you can call your local Precision Dental Clinic to speak with our team directly; Oldham 01706 849392 and Stockport 0161 419 9028.