Composite bonding in Greater Manchester
Cosmetic Dentistry
Achieve a flawless, confident smile in just one visit with minimally invasive composite bonding treatments at Precision Dental Clinic.

Why choose Precision Dental Clinic for your composite bonding?
Our team has transformed over 650 smiles across Greater Manchester with composite bonding. With years of experience, our highly skilled clinicians know how to deliver results that look good and feel natural. Most importantly, we’ll guide you through the process with care, making sure you feel comfortable and confident at every step.

What is composite bonding?
Composite bonding is a cosmetic dental treatment where a tooth-coloured resin is skilfully applied and sculpted onto your teeth to improve their appearance. It’s an ideal way to repair minor imperfections like chips, cracks, small gaps, and discolouration. The procedure is minimally invasive, meaning it typically requires no drilling or removal of your healthy tooth structure.

Why get composite bonding?
Transform your smile in a single, convenient appointment
Effectively conceals chips, cracks, stains, and small gaps
A cost-effective way to achieve a significant cosmetic improvement
Minimally invasive treatment that preserves your natural tooth
Composite bonding before & after


Composite bonding
Subtle changes, stunning results! Composite bonding used to perfect shape and symmetry - giving this patient a confident new smile.


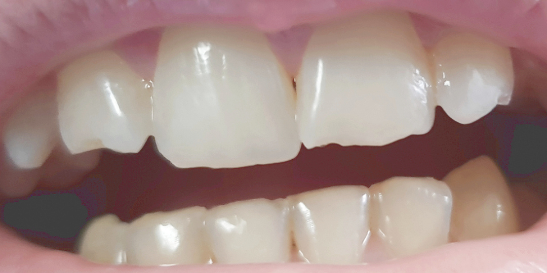
Composite edge bonding
This patient wanted to repair chipped teeth and refine his smile. Through expert edge bonding, our team achieved a smooth, natural finish that enhanced both shape and confidence.
How much does composite bonding cost?
The cost of your composite bonding treatment depends on the number of teeth being treated and the complexity of your case. You can see a guide to our fees on our pricing page.
For a full, personalised quote, book a consultation with our friendly team. We will create a treatment plan that suits you and explain our flexible 0% finance plans that help make your new smile more affordable.

Repair chipped teeth, in one appointment
Your consultation and shade matching
We’ll discuss your smile goals and carefully select the perfect shade of composite resin to match your teeth.
Applying and sculpting
Your dentist will expertly apply the resin to your tooth, skilfully sculpting and shaping it to create a flawless result.
Polishing your new smile
The resin is hardened under UV light and polished to reveal your shining new smile.
Get composite bonding in Greater Manchester
Your smile is in safe hands at Precision Dental Clinic. Our experienced clinicians, including Dr. Imran Chhadat and Dr. Ruksana Chowdhury, have over 35 years of experience providing advanced cosmetic procedures and have helped over 700 patients in Stockport, Oldham, and Manchester to achieve their smile goals.


Ready to transform your smile with composite bonding?
Your first step is a friendly, no-commitment consultation. We will listen to your goals, assess your teeth, and help you decide if composite bonding is the right choice to achieve the results you’re looking for.