Platinum Invisalign Providers in Greater Manchester
Cosmetic Dentistry
Get the smile you’ve always wanted, without traditional metal braces. We offer Invisalign at our clinics in Stockport and Oldham.

Get straighter teeth with Invisalign at Precision Dental Clinic
Invisalign transforms your smile using virtually invisible clear aligners. As a Platinum Invisalign Provider (a status awarded by Invisalign for treating a significant number of patients each year) our practice has a proven high level of experience and skill with the Invisalign system.
Our expert clinicians, Imran Chhadat and Ashraf Angle are committed to quality care and will create a custom treatment plan and ongoing support for you for every step of your Invisalign journey.

What is Invisalign?
Invisalign is the world’s leading clear aligner system. It straightens your teeth discreetly and comfortably using a series of custom-made, clear plastic aligners that you wear over your teeth. The clear aligners are removable, so you can take them out to eat, brush, and floss as normal.
Following your dentist’s guidance, you’ll change to a new set of aligners every 1-2 weeks, with each set gently moving your teeth closer to their desired position. During your consultation, we use our advanced iTero 3D scanner to show you a visualisation of your new smile before you even begin.

Benefits of Invisalign clear aligners
Virtually invisible
Fully removable
Advanced comfort
Proven results
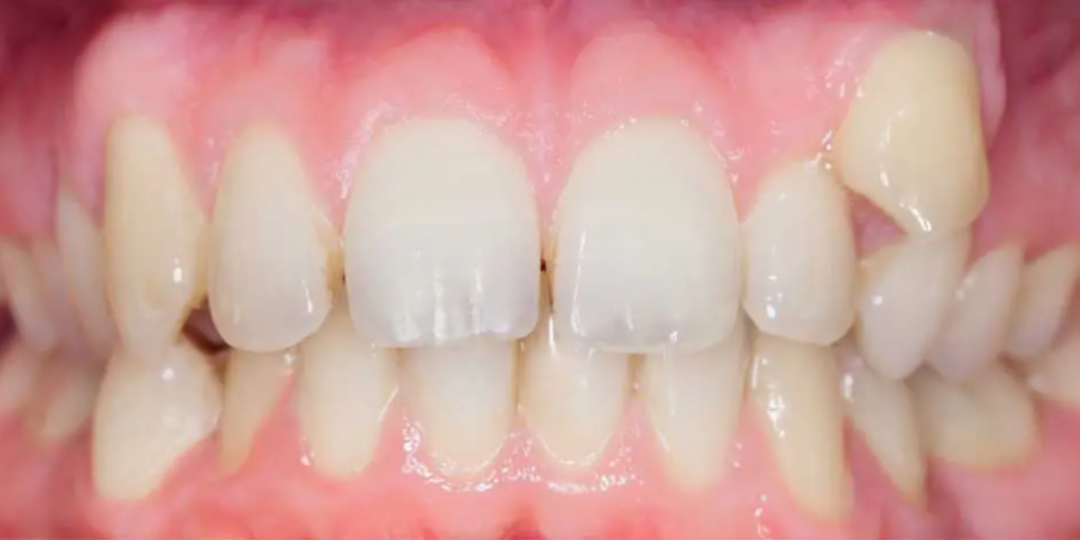
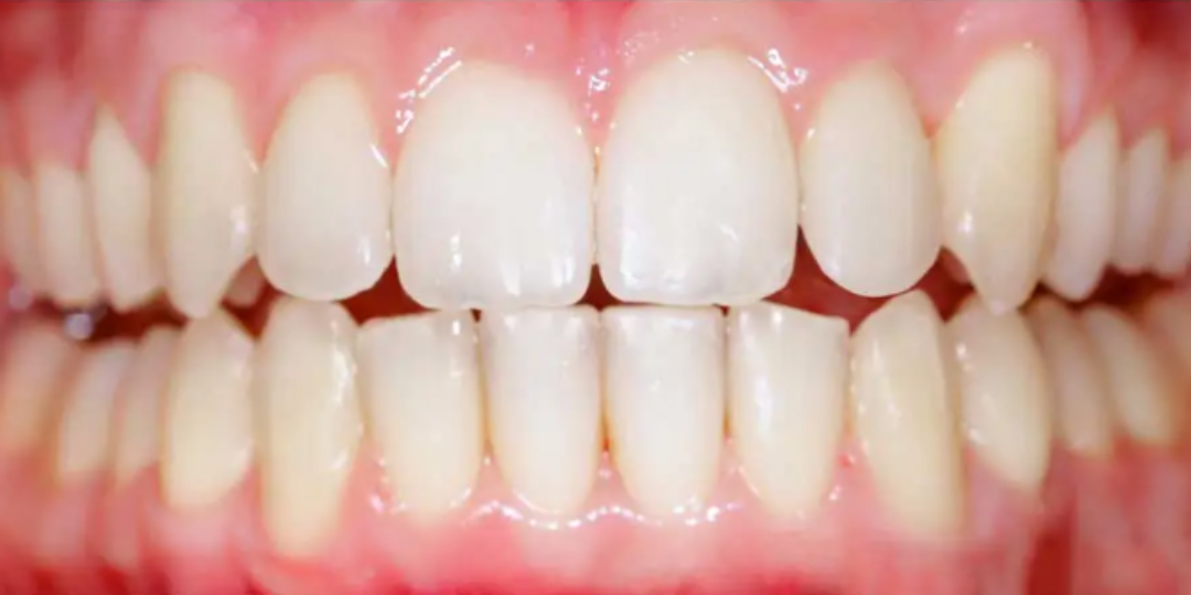
Our Invisalign client results


Invisalign & composite bonding
A confident new smile! Using Invisalign and whitening, the Precision Dental Clinic team helped this patient achieve a stunning smile transformation.


Invisalign & tooth whitening
This patient came to us with a misaligned smile. Through clear aligners and tooth whitening treatments, the Precision Dental Clinic team gave this client a bright, confident smile.
How much does Invisalign cost?
The cost of Invisalign in the UK depends on your individual needs, as simpler cases cost less than more complex ones. At your consultation, we will provide a clear, all-inclusive Invisalign price with no hidden fees.
To make your treatment more affordable, we offer flexible 0% finance plans, allowing you to spread the Invisalign cost into manageable monthly payments.

Your Invisalign experience
Your smile assessment
Our Invisalign providers will assess your smile and work with you to create your custom treatment plan.
Your digital 3D scan
We’ll take a comfortable, impression-free 3D model of your teeth to create your aligners.
Wearing your aligners
You’ll wear your aligners daily, changing them every 1-2 weeks as your new smile gradually takes shape.
Why choose Precision Dental Clinic as your Invisalign provider?
Your smile is in expert hands at our clinics in Oldham and Stockport. Our orthodontic providers, Imran Chhadat and Ashraf Angle are recognised as Platinum Invisalign Providers. Their extensive hands-on experience means they are very skilled in all aspects of the Invisalign process.
Your Invisalign treatment will begin in our warm and welcoming practice, using modern technology to ensure you have a comfortable experience.


Start your journey to straighter teeth
Your first step is a friendly consultation with one of our expert Invisalign dentists. We’ll take the time to listen to your goals, answer all your questions, and discuss what’s possible for your new smile.
Frequently asked questions

Contact us
Complete this form and our team will be back in touch with you as soon as possible.
Alternatively you can call your local Precision Dental Clinic to speak with our team directly; Oldham 01706 849392 and Stockport 0161 419 9028.